应用截图
详细介绍
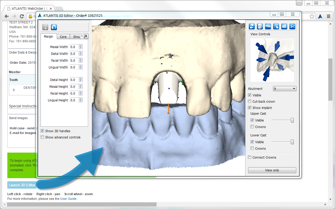
The extension launches ATLANTIS 3D Editor 2.0+ as a standalone application from Chrome ver 45+
For our Chrome browser users, this extension allows you to open your orders from atlantisweborder.com or orderdigitalsolutions.com with ATLANTIS 3D Editor version 2.0 and newer as standalone application from Chrome version 45 and newer that no longer support plugin.
For our Chrome browser users, this extension allows you to open your orders from atlantisweborder.com or orderdigitalsolutions.com with ATLANTIS 3D Editor version 2.0 and newer as standalone application from Chrome version 45 and newer that no longer support plugin.